Les différentes techniques de brossage
La réussite d'un traitement
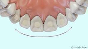
La contention permet de stabiliser les résultats de votre traitement et de conserver un bel alignement des dents.
Un entretien quotidien permettra de conserver vos aligneurs (ou gouttières transparentes) en bon état pendant toute la durée du traitement.
Le succès d’un traitement d’orthodontie dépend du diagnostic et des soins prodigués, mais également de votre coopération.
Quel que soit le type d’appareil (amovible ou fixe), les bons gestes d’hygiène bucco-dentaire sont un gage de réussite de votre traitement.







